안녕하세요 광주 풍암동 예인치과입니다
치아는 우리 몸에서 가장 단단한 조직입니다만, 가끔씩 딱딱한 것을 씹거나 아니면 넘어지거나 하면 앞니가 깨지기도 하지요
이럴 때는 어떻게 해야 할까요?

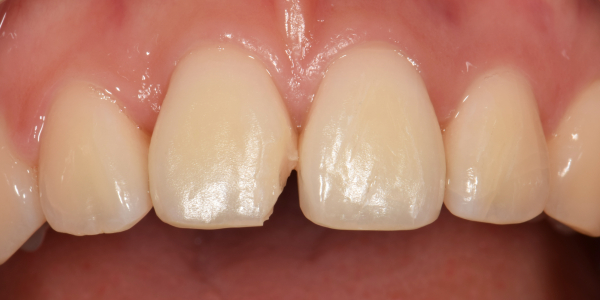
중앙의 앞니가 깨진 모습입니다
다행히 깨진 부분이 그렇게 크지 않습니다
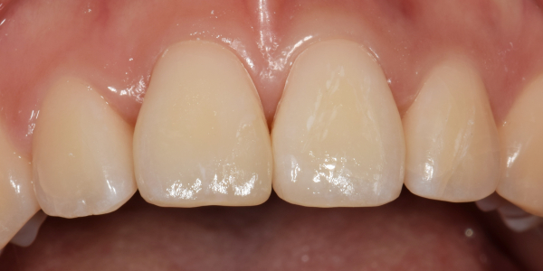
지금처럼 작게 깨진 경우에는 레진이라는 재료로 깨진 부위를 채울 수 있습니다

앞니쪽은 무엇보다 심미적인 부분이 중요하기 때문에 최대한 주변 치아의 색에 맞추어서 치료를 진행하는 것이 중요합니다
레진이라는 재료는 다양한 색을 표현할 수 있으므로 이런 치료에 적합합니다
심미에 관해서는 객관적인 기준은 존재하지 않습니다
제가 아무리 최대한 자연치와 비슷하게 치아를 치료했다고 해도 환자분께서 마음에 드시지 않을 수도 있지요
그런 경우에도 환자분과 최대한 소통하면서 환자분 눈높이에 맞는 치료를 해드리겠습니다
제가 작성하는 모든 의료정보 포스팅은 환자분 개개인의 상황에 맞지 않을 수 있는, 별다른 특이사항이 없는 경우에 적용되는 일반적인 정보를 담고 있습니다
위 상황처럼 앞니가 작게 깨졌다고 하더라도 눈에 띄지 않는 여러 잔금이 가 있을 수도 있고, 작게 깨졌다고 하더라도 심한 통증이 있는 경우도 있으므로, 모든 경우에 위와 같은 (레진)치료가 적용되는 것은 아닙니다
정확한 진단/치료는 직접 눈으로 보고 진행해야하므로 담당해주시는 치과의사 선생님께 보여드리고 치료 진행하시길 바랍니다
감사합니다

